Heart Attacks Can Strike Without Warning.

This 5-Minute Scan Shows If You’re at Risk—Before It’s Too Late

What Other Tests Miss

Most people think they’re in the clear because their doctor said everything “looked fine.”

But here’s the truth: standard heart tests like EKGs, stress tests, and even calcium scores only tell part of the story—and often miss the most dangerous warning signs. That’s why our advanced Heart Scan goes deeper. 

In just five minutes, you’ll get the full picture of what’s really happening inside your arteries—using the same cutting-edge technology trusted by top cardiologists.

No Surgery

No hospital stay

Just clarity peace of mind and control

No Surgery

Stress tests check how your heart muscle performs under strain—but not if your arteries are clogged.

No hospital stay

EKGs measure electrical activity—not your physical structure.

Just clarity peace of mind and control

Calcium scores only detect one type of plaque—and it’s not the one that usually causes heart attacks.

Fact: Soft plaque and low-density plaque are the real killers—and they’re invisible on most scans.

The 3 Types of Plaque

 — … And Why They Matter

Most people only hear about “calcium scores” when it comes to heart health. But the truth is, calcium is just one type of plaque—and it’s not the most dangerous one.

Here’s what you really need to know:

Calcified Plaque

This is the hardened buildup that shows up on calcium scans. It’s been around for a while and is relatively stable. It’s important—but it’s not usually what causes sudden heart attacks.

Calcified Plaque

This is the hardened buildup that shows up on calcium scans. It’s been around for a while and is relatively stable. It’s important—but it’s not usually what causes sudden heart attacks.

Calcified Plaque

This is the hardened buildup that shows up on calcium scans. It’s been around for a while and is relatively stable. It’s important—but it’s not usually what causes sudden heart attacks.

Why does this matter?

Calcium scans, stress tests, and EKGs can’t detect soft and low-density plaque—but these are the types most likely to be deadly. That’s why our scan looks at all three, giving you the full picture of your heart’s health and blood flow.

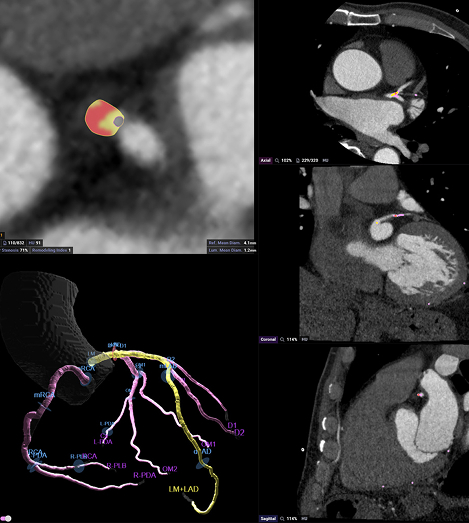
The 3T HeartFlow Protocol™

Take A Lifesaving Look Inside Your Arteries

Our Heart Scan uses advanced 3D imaging and AI-powered analysis to give you the most complete picture of your heart health available today.

You’ll see exactly what’s going on in your heart—without tubes, surgery, or recovery time.

In just 5 minutes, we analyze:

All 4 major heart arteries

All 3 types of plaque (calcium, soft, and low-density)

Blood flow down to the tenth of a millimeter—the width of a human hair


Using FDA-approved Cleerly® and HeartFlow® software, our team delivers insights even cardiologists can’t get from a routine test.

How It Works

Scan Smart. Analyze Everything. Act With Confidence.

Step 1

The Scan

In just 5 minutes, we perform a non-invasive, high-resolution scan of your heart using our ultra-fast, ultra-low radiation CT scanner. No prep, no pain.

Step 2

The Analysis

Your images are run through Cleerly® and HeartFlow® – the same FDA-approved tools used by top cardiologists. These advanced AI programs detect and measure all three types of plaque and assess how well blood is flowing through your arteries.

Step 3

The Insights

Two board-certified, specialty-trained radiologists interpret your results—giving you a clear, color-coded 3D map of your heart and arteries. You’ll know exactly what’s going on inside, down to the tenth of a millimeter.

Step 4

The Action Plan

If something concerning is found, we don’t leave you in the dark. We’ll guide you through your next steps and even refer you to a trusted cardiologist if needed. You’ll walk away empowered with clarity, not confusion.

Why The 3T Heart Scan Is Different — And Better

Our Heart Scan isn’t just a test. It’s an experience designed to protect your future, ease your fears, and put you back in control of your health. Here’s why thousands are choosing 3T:

Complete Picture of Your Heart

We’re the only provider in South Florida that offers a non-invasive, five-minute scan capable of detecting all three types of plaque—not just calcium.

Trusted, Physician-Led Expertise

This isn’t just another  tech company selling scans. We’re a doctor-owned, ACR-accredited medical practice. Every scan is reviewed by two subspecialty-trained radiologists, including cardiovascular imaging experts.

No Surgery, No Guessing

We’re the only provider in South Florida that offers a non-invasive, five-minute scan capable of detecting all three types of plaque—not just calcium.

Technology That Sees More

Our ultra-low radiation technology that captures your entire heart in one beat. We use Cleerly® and HeartFlow® AI to create a color-coded 3D map of your heart that shows plaque, blood flow, and risk down to a tenth of a millimeter.

Fast Answers & Real Guidance

Get results in just a few days—with explanations in plain English. If we find anything concerning, we help you take the right next steps. No referrals needed. No being left in the dark.

Life-Saving Peace of Mind

You don’t need to live with uncertainty. Whether you’re here because of family history, recent symptoms, or just want to be proactive—this scan gives you clarity, control, and confidence.

What People Say About the 3T Experience

“I thought I was totally healthy. No symptoms. But this scan found dangerous plaque I never would’ve known about. I had a stent placed two weeks later. This scan saved my life.”

 —Laura M., 56, Coral Gables

“I thought I was totally healthy. No symptoms. But this scan found dangerous plaque I never would’ve known about. I had a stent placed two weeks later. This scan saved my life.”

 —Laura M., 56, Coral Gables

“I thought I was totally healthy. No symptoms. But this scan found dangerous plaque I never would’ve known about. I had a stent placed two weeks later. This scan saved my life.”

 —Laura M., 56, Coral Gables

One Scan. One Price.
A Lifetime of Knowing.

✔ 5-minute scan with 90% less radiation than traditional CT

✔ Cleerly® and HeartFlow® AI-powered analysis

✔ Full review by board-certified radiologists.

✔ 3D map of all plaque types and real-time blood flow

✔ No surgery, no hospital, no downtime

✔ Peace of mind you can’t put a price on

Heart Scan with Advanced Plaque & Blood Flow Analysis:

$2,000

Optional: Live Radiologist Consultation — $500

(Sit down with your specialist and review your scan in detail, in-person or virtually)

Know What’s Really Going On Inside Your Heart

Book your Heart Scan today and take control of your health before symptoms ever appear.

Feeling hesitant?
Let’s walk through what’s on your mind.

I feel fine. Why would I need a heart scan?

That’s exactly when to get one. Most heart attacks can strike without warning — and the plaques that cause them don’t show symptoms until it’s too late. This scan helps detect early-stage issues long before they become emergencies.

My doctor says everything looks normal. Isn’t that enough?

Standard tests like EKGs, stress tests, and calcium scores only tell part of the story. Our scan goes further — identifying soft and low-density plaque (the kinds that are most likely to rupture) and showing blood flow through your arteries in real-time. Your doctor might not have access to this technology.

What if I find out something bad? I’d rather not know.

We understand that fear — but for you, knowledge is power. Finding something early gives you time to act, protect your health, and avoid the worst-case scenario. Denial doesn’t keep you safe… but clarity might save your life.

Is this scan painful or risky?

Not at all. The scan takes just 15 minutes, involves no needles or surgery, and uses ultra-low radiation. It’s non-invasive and comfortable — you’ll be in and out the same day, without any downtime.

This seems expensive. Is it really worth it?

Absolutely. Think of it as proactive health insurance — one that could prevent a heart attack, hospital stay, or worse. We measure what matters most this scan and give you peace of mind or a clear plan forward. When it comes to your heart, knowing is always worth it.

Real Doctors. Real Expertise. Real Answers.

At 3T Radiology, you’re not just getting a scan — you’re getting the insight and care of leading subspecialty-trained radiologists who focus exclusively on cardiovascular and body imaging.

We are a physician-owned medical facility, not a tech company or pop-up scan center. That means your results are interpreted by real doctors, not algorithms or generalists. And if something needs further attention, we guide you through your options, not leave you on your own.

Whether you’re coming in for peace of mind or following up on a family history of heart disease — you can trust that you’re in the hands of experts who are committed to helping you live longer, stay stronger, and feel in control of your health.

Heart Scan Optin Form